
掃描電鏡是1965年發明的較現代的細胞生物學研究工具,它具有制樣簡單、放大倍數可調范圍寬、圖像的分辨率高、景深大等特點。近年來,掃描電鏡已廣泛地應用在生物學、醫學、等學科的領域中。
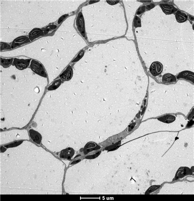
透射電子顯微鏡(Transmission Electron Microscope,TEM)是使用頗為廣泛的一類電鏡。通過發射電子束從而穿過超薄的樣品,同時與樣本相互作用,既而形成圖像。透射電鏡H-7650是一臺高分辨率成像儀器,使用雙狹縫物鏡,可以得到獨有的低倍大視野,高對比度成像的特點,配有高靈敏度CCD相機,具有低劑量電子束成像的功能;具有更多的自動化功能,如自動聚焦,自動消像散,自動拍照等;具有圖像數據功能,測長,圖像過濾功能,具有較強的拓展功能。
TUNEL(TdT-mediated DUTP nick end labeling)細胞凋亡檢測試劑盒是用來檢測組織細胞在凋亡早期過程中細胞核DNA的斷裂情況。
TUNEL(TdT-mediated DUTP nick end labeling)細胞凋亡檢測試劑盒是用來檢測組織細胞在凋亡早期過程中細胞核DNA的斷裂情況。
阿利新藍的染色原理在于是類銅鈦花青染料,這種陽離子染料與酸性基團結合,也即阿利新藍與組織內含有的陰離子基團如羧基和硫酸根形成不溶性復合物。分子中帶正電荷的鹽鍵與酸性粘多糖物質中帶負電荷的酸性集團結合形成不溶性的復合物而呈藍色,
免疫熒光技術(Immunofluorescence technique)又稱熒光抗體技術,它是在免疫學、生物化學和顯微鏡技術的基礎上建立起來的一項技術。很早以來就有一些學者試圖將抗體分子與一些示蹤物質結合,利用抗原抗體反應進行組織或細胞內抗原物質的定位。它是根據抗原抗體反應的原理,先將已知的抗原或抗體標記上熒光基團,再用這種熒光抗體(或抗原)作為探針檢查細胞或組織內的相應抗原(或抗體)。利用熒光顯微鏡可以看見熒光所在的細胞或組織,從而確定抗原或抗體的性質和定位。
油紅O屬于偶氮染料,是很強的脂溶劑和染脂劑,與甘油三酯結合呈小脂滴狀。脂溶性染料能溶于組織和細胞中的脂類,它在脂類中的溶解度比在溶劑中大。當組織切片置入染液時,染料則離開染液而溶于組織內的脂質(如脂滴)中,使組織內的脂滴呈橘紅色。
成骨分化是干細胞的一個重要特性。在特定的誘導培養基作用一段時間后,干細胞可分化為成骨細胞,在細胞表面沉積鈣鹽,形成鈣結節。應用茜素紅的復合物,可用于鑒定干細胞是否已成功向成骨細胞轉化。